21点游戏规则

您好,欢迎进入21点游戏规则详解|21点玩法研究所|新手快速上手指南!

手机版二维码
医学教研

医学教研

 » 内容
带你了解支原体肺炎
发布人:xaszxyy3  发布日期:2023-10-16

21点游戏规则

你家孩子也是支原体肺炎啊?最近这句话常出现家长们的对话中。伴随着孩子们整夜的咳嗽声,支原体肺炎正在威胁着儿童的呼吸道健康。它的病程相对较长,通常需要2-3周才能痊愈。这意味着孩子们需要足够的休息和护理,以避免病情恶化。其次,儿童支原体肺炎容易反复发作,特别是在季节变化、抵抗力下降时。因此,我们需要帮助孩子们增强免疫力,预防疾病复发。

 

01

如何早期识别支原体肺炎?

 

一、典型临床表现:发热和咳嗽。(和大多数肺炎表现类似)

1.发热:中高度发热多见,也可低热和无热。

2.咳嗽:大多数表现为阵发性干咳、逐渐加重。少数有粘痰、伴血丝等等。(咳嗽非常显著,甚至于类似百日咳一样的痉挛性咳嗽)

二、肺部查体:早期往往不明显。(很多发病早期建议拍片,是因为真的早期听诊器听不到)

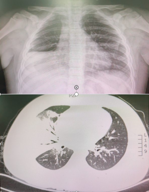
三、胸部影像学(胸片/胸部CT):CT诊断意义高于胸片(医生会根据病情和病程来建议检查)

 

 

四、病原学检查:肺炎支原体核酸(PCR)优于肺炎支原体抗体(IgM),但检测所需时间不同。抗体往往速度快,当早期出现肺炎支原体抗体阴性,后期转阳性时,意义更为重要。   

五、氧饱和度监测:建议有条件的单位和个人,监测经皮氧饱和度。

 

如何治疗

肺炎支原体感染?

 

02

经典治疗方案:

大环内酯类抗生素:

1代:红霉素

2代:阿奇霉素、克林霉素、罗红霉素

3代:泰利霉素、塞红霉素(未用于儿童)

非大环内酯类抗生素:四环素类:如多西环素、米诺环素、替加环素 (多应用于8岁以上患儿)

混合感染:合并其他微生物感染时,可以联合其他抗菌药物。

糖皮质激素、丙种球蛋白、支气管镜等等。

治疗方案的选择,取决于病情进展、轻重及年龄等等因素,每个孩子的治疗方案都不完全相同,一定要在医生指导下进行治疗和随诊。



温馨提示

   很多家长都有疑问,以前孩子也曾有支原体感染,为何今年治疗过程如此艰难?!这与我国耐药支原体肺炎发病率增高有关。与早期大环内酯类抗生素的过度使用、药物结合位点变异及抗菌药物的不合理使用等相关。对于现阶段支原体感染的肺炎患儿,仍应在21点游戏规则 内接受及时的治疗方案调整,以缩短治疗时间,减少不良后果。

   我们呼吁家长们积极行动起来,为孩子们的健康负责,给孩子们提供足够的休息和锻炼时间。让我们携手共进,为孩子们创造一个健康、美好的成长环境!