|



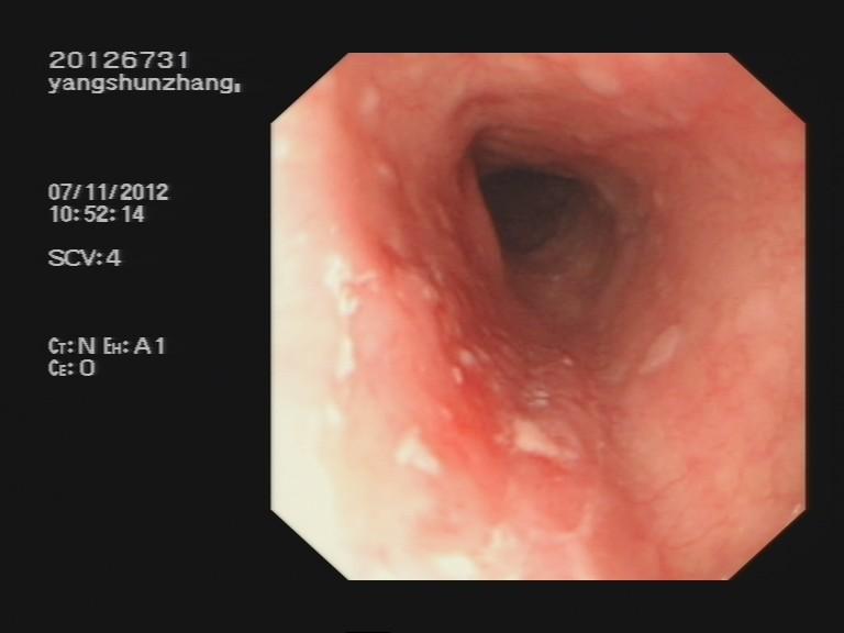
日前,一位高龄的男性患者因食管中段早癌在我院消化科施行了内镜下多环套扎黏膜切除术(MBM)。手术历时仅半小时即完成,术中未出现出血、穿孔等并发症。 内镜下多环套扎黏膜切除术是在内镜下找到病灶所在部位,然后用染色剂喷洒染色,确定病灶的确切范围,以电刀行环周电凝标记,于内镜头端安装好多环套扎黏膜切除器,接着将多环套扎黏膜切除器对准病灶自标记外开始吸引,将病灶吸入套扎器内,释放套扎环套住部分病灶,再用圈套器套住套扎环的下方进行电凝电切,直至将所有病灶全部切除。 这种内镜下微创手术与传统外科手术相比,优点是取代了传统的外科手术,避免了患者的开胸之苦。此项技术是食管早癌治疗领域的尖端技术具有创伤小、花费少、恢复快,安全可靠风险小,而且所需的手术时间明显缩短。其适应症主要是:早期食管癌,食管炎或Barrett食管伴高级别上皮内瘤变(或重度异型增生)。 这是我院消化科2012年继内镜下黏膜剥离术(ESD)、食管粒子支架植入术之后开展的又一项达到国内先进水平的新技术。我院消化科在我省率先开展此项技术,使我院内镜下微创治疗技术水平迈上了新台阶,使我院消化科对消化道早癌及癌前病变的诊治达到国内先进水平,为消化道疾病患者治疗提供了更多、更好的选择。 (消化科 张欣 供稿)
|